Al margen de los beneficios que supone para la propia salud bucodental, el gasto que se dedica al cuidado de la boca resulta de lo más rentable … tanto en términos económicos como, sobre todo, en calidad de vida y mejoría de la salud general... *Fuente de la informaciòn: https://www.cuidatusencias.es/2021/01/04/toma-una-decision-inteligente-rentable-y-sana-invierte-en-tu-salud-bucodental/

El Dr. Justo Alonso y el Dr. Jorge Gabito Mira participaron en el Ciclo de Conferencias de Actualización en Odontología, parte del Programa de Salud Bucal del Ministerio de Salud Pública, cuyos objetivos son contribuir al logro del más alto grado posible de salud bucal de la población uruguaya, impulsando, promoviendo y articulando las adecuadas acciones promocionales, preventivas y asistenciales integradas.

El Dr. Jorge Gabito Mira participa en el Ciclo de Conferencias de Actualización en Odontología, parte del Programa de Salud Bucal del Ministerio de Salud Pública, cuyos objetivos con contribuir al logro del más alto grado posible de salud bucal de la población uruguaya, impulsando, promoviendo y articulando las adecuadas acciones promocionales, preventivas y asistenciales integradas.

La relación entre la enfermedad oral en general y la periodontitis en particular y la diabetes, es bidireccional y da lugar a un círculo vicioso, teniendo en cuenta que ambas patologías se agravan entre sí. Esta es la principal conclusión arrojada por un estudio llevado a cabo en el marco del estudio di@bet.es, cuyos resultados se analizaron durante el XXXII Congreso de la Sociedad Española de Diabetes (SED) 2021.

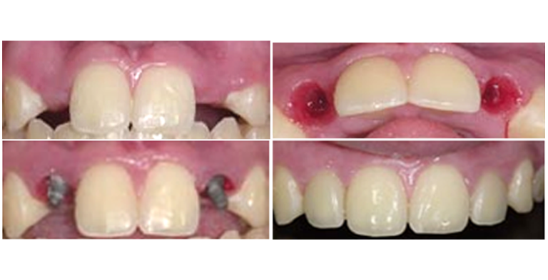
Las carillas biomimèticas son finas láminas de cerámica que se cementan en los dientes y permiten modificar su forma, color y textura, ocultar manchas, y corregir espacios interdentales y pequeñas fracturas, logrando resultados altamente estéticos con la debida consideración de los tejidos gingivales.