Dr. Jorge Gabito Mira
Actualmente la colocación de «piercings», generalmente en labios y lengua, además de en alas nasales, pabellones auriculares, o zona peri ocular, y las complicaciones que ellos causan, provocan la consulta de pacientes. Los pacientes generalmente jóvenes consultan cuando constatan la lesión en estado avanzado como muestra las imágenes o son hallazgos en consulta de control periódico.
Cuando recibimos pacientes portadores de «piercings» podemos apreciar entre otros:
- Daños en las piezas dentarias, ya sean fisuras o fracturas
- Daño a las restauraciones dentarias presentes en boca
- Separación de piezas dentarias donde se apoya el «piercing»
- Inflamaciones de la zona circundante al «piercings»
- Cicatrices, y fístulas
- Reacciones alérgicas al metal
- Procesos infecciosos bacterianos
- Hemorragias
- Bloqueo de las vías aéreas por severa inflamación de la lengua
- Quistes, abscesos, y tumores
- La corriente galvánica de la joyería metálica en contacto con restauraciones metálicas podría producir sensibilidad pulpar
- Halitosis por acúmulo de bacterias
- Interferencia del habla
- Aumento del flujo salival
- Interferencia con radiografías
- Dificultad para la deglución y la percepción de los sabores
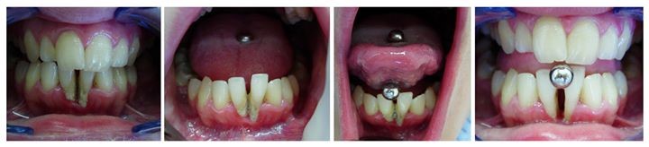
En el caso que publicaremos se demuestra que el «piercing» de labio, lengua o mejilla, puede causar recesión gingival, implicando la pérdida de los tejidos periodontales y su afectación estética y funcional.
La paciente presentaba en lengua, un «piercing» que la atravesaba desde la cara ventral hasta la cara dorsal, que portó durante 34 meses. El «piercing» lingual, tenía dos esferas, que provocaron, lesión periodontal de ambos incisivos centrales inferiores, inflamación gingival, pérdida de inserción, reabsorción ósea y migración patológica.

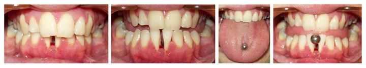
A los 2 años se presenta en la siguiente situación clínica:

Una higiene oral mejorada, gingivorragia, y la imagen del hábito de la paciente que era ubicar la esfera en el espacio interdentario, provocando cuando se trababa el «stress» ansiado.